Cabinet dentaire Place Froment
Parodontologie - Implantologie - Esthétique - Orthodontie - Pédodontie
ACCUEIL
LE CABINET
Accès et horaires
Le cabinet en images
L'équipe
L'équipement
NOS TRAITEMENTS
Dentisterie Générale
La chirurgie Dentaire
Esthétique dentaire
Pédodontie
Parodontie
Prophylaxie Dentaire
Radiologie dentaire
Occlusodontie
Apnée du sommeil
Dentisterie Holistique
Traitement de l'Halitose
NOS VIDEOS
CAS CLINIQUES
REJOIGNEZ NOTRE EQUIPE
CONTACT
QUESTIONNAIRE
PRENDRE RDV
4 Place Jacques Froment
75018
PARIS
+33 1 40 25 90 10
Cabinet dentaire Place Froment
Parodontologie - Implantologie - Esthétique - Orthodontie - Pédodontie
ACCUEIL
LE CABINET
Accès et horaires
Le cabinet en images
L'équipe
L'équipement
NOS TRAITEMENTS
Dentisterie Générale
La chirurgie Dentaire
Esthétique dentaire
Pédodontie
Parodontie
Prophylaxie Dentaire
Radiologie dentaire
Occlusodontie
Apnée du sommeil
Dentisterie Holistique
Traitement de l'Halitose
NOS VIDEOS
CAS CLINIQUES
REJOIGNEZ NOTRE EQUIPE
CONTACT
QUESTIONNAIRE
PRENDRE RDV
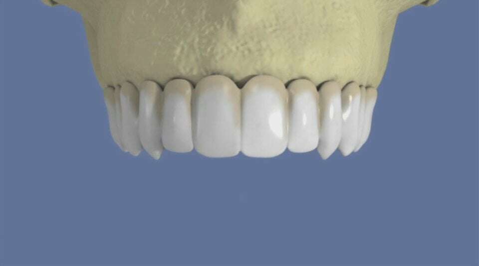
Maxillaire : bridge vissé sans fausse gencive
Vidéos 3D
Partager
Twitter
Partager
Partager
Envoyer
Copier
Cabinet dentaire Place Froment
4 Place Jacques Froment
75018
PARIS
+33 1 40 25 90 10
EN SAVOIR +
Politique de confidentialité et charte cookie
Mentions légales
Conditions Générales Utilisation
Charte déontologique
Ordre national
Annuaires chirurgiens dentistes
ACCES
Urgences
Horaires
Prendre RDV
Recrutement
Adresse
RECHERCHER
Création par
Connexion